
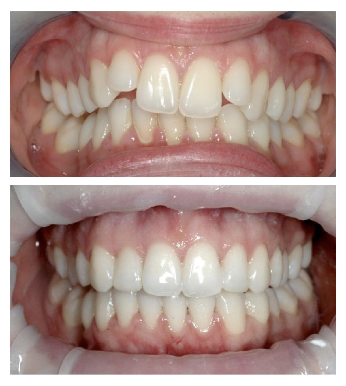
Lo Studio Dentista Galli eccelle nell’applicazione dell’apparecchio per denti a Castelfranco Emilia, invisibile e tradizionale, offrendo trattamenti personalizzati di ortodonzia. La loro specializzazione in Invisalign li rende leader nella correzione dentale discreta. Oltre all’ortodonzia, lo studio si dedica all’estetica dentale, periorale e faccette, garantendo sorrisi luminosi e armoniosi. Inoltre, offrono servizi di filler per labbra, per una bellezza naturale ed elegante. Lo Studio Dentista Galli è un punto di riferimento per chi cerca il servizio di applicazione dell’apparecchio per denti a Castelfranco Emilia e soluzioni dentali avanzate e personalizzate. Prenota il tuo trattamento tramite i recapiti riportati sul portale.
Studio Dentista Galli è la scelta ideale per i pazienti che desiderano soluzioni odontoiatriche avanzate. L’applicazione di impianti dentali a Castelfranco Emilia è una delle nostre specialità principali. Grazie alla nostra esperienza e tecnologia all’avanguardia, garantiamo un trattamento di alta qualità per ripristinare la funzionalità e l’estetica dei vostri denti mancanti. I nostri professionisti altamente qualificati lavorano con cura per garantire risultati duraturi e confortevoli. Presso Studio Dentista Galli, ci preoccupiamo non solo della vostra salute dentale ma anche dell’estetica, offrendo una vasta gamma di servizi come l’ortodonzia invisibile e non solo. Non esitare a contattarci per chiederci maggiori informazioni circa gli impianti dentali a Castelfranco Emilia.